2020年8月4日,继开展厦门市首例NOTES手术后(我院官网2019年4月26日报道《厦门大学附属翔安医院完成厦门首例经自然腔道内镜手术(NOTES)》),厦门大学附属翔安医院消化内科内镜诊疗团队在徐立副主任带领下又再次开展了院内第四例NOTES手术----经胃NOTES保胆取石术。此项技术的成功开展,为众多胆囊疾病患者(胆囊结石、胆囊息肉等)提供了一项新的微创治疗方法。

随着生活水平提高和饮食结构变化,胆囊结石在我国患病率呈逐渐升高趋势,患病率超过10%,成为我国的常见病、多发病。长期以来,胆囊切除术在胆囊疾病治疗中一直占据主导地位,但随着对人体器官功能的认识不断深入,越来越多的研究提示,胆囊不仅具有存储、浓缩、排泄胆汁及调节胆道压力等作用,还是人体的重要免疫器官,并非可有可无,切除胆囊则会增加术后消化不良、胆汁返流,甚至是结直肠癌的风险。
患者是一位45岁中年男性,因“反复上腹痛1月余”来我院就诊,影像学检查提示胆囊单发结石,患者拟行保胆取石术入住厦门大学附属翔安医院消化内科。考虑到结石较大,且胆道结构复杂,消化内科徐立副主任、张鸣青主任医师、曾伟副主任医师等术前对患者的胆囊功能进行了仔细评估,在充分与患者和家属沟通后,决定为患者施行经胃NOTES(natural orifice transluminal endoscopic surgery,NOTES)下保胆取石术。
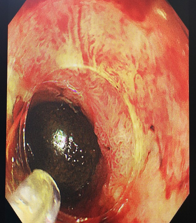
在麻醉科团队的有力保障下,手术由消化内科内镜诊疗团队中曾伟副主任医师主刀实施,张鸣青主任医师全程指导。在使用特殊器械逐层切开胃壁后,消化内镜经胃切口进入腹腔并顺利找到胆囊,小心切开胆囊壁后进入胆囊探查,发现黑色结石1枚及胆囊息肉数个。术中在顺利套取出巨大黑色结石后,亦将胆囊息肉钳除,术后夹闭胆囊及胃壁切口,并留置胃肠减压管进行胃肠减压。术后,曾伟副主任医师就术中情况及术后注意事项向患者家属进行了说明。患者术后两天病情平稳,未出现腹痛、发热等并发症,已顺利拔除胃肠减压管,并逐渐恢复正常饮食。


消化内科徐立副主任介绍说:“随着内镜诊疗技术的不断发展, NOTES成为近年来逐步兴起的内镜微创治疗技术。NOTES全称为:经自然腔道内镜手术,该手术是通过胃、食道、结肠、阴道、膀胱等自然腔道进入手术部位进行诊疗。因经自然腔道,最大优点是微创,术后恢复快,体外不留任何疤痕,能满足部分爱美人士的特定要求,特别是疤痕体质患者。此患者有保留胆囊的愿望,且希望通过微创手术取出结石,术前评估提示符合内镜下保胆取石的适应症,故NOTES保胆取石正好能满足此患者的需求。以后,我们将因“人”而异、因“胆”而异”,在临床实践中不断积极探索保胆取石的最佳适应症,从而使该手术更多地造福于胆囊疾病的患者。
张鸣青主任医师进一步补充道:“与传统的开腹及腹腔镜手术相比,NOTES手术创伤更小、术后恢复时间更短,在取得令人满意的美容及微创效果的同时,可以减轻术中及术后疼痛,避免切口感染、切口疝及慢性腹壁疼痛,减少术后腹腔粘连及粘连性肠梗阻的发生等。且NOTES手术范围广,在消化科领域,不但能做保胆取石,还能做胆囊息肉摘除、阑尾切除等手术。NOTES手术前景广阔,必将会给患者带来更多的福音。”
NOTES手术是内镜的前沿技术,国内仅少数医院能够独立开展。厦门大学附属翔安医院消化内科在徐立副主任的带领下,逐渐建立了完善的消化内镜诊疗体系,已完成多项多例高难度的消化内镜IV级手术。厦门大学附属翔安医院消化内科秉着“以精取胜”的建科理念,旨在为广大人民群众提供更加便捷、优质的诊疗技术。
图、文/消化内科:杨仁泽